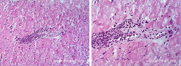
Acute Cellular Rejection - Grade 1R
Is not uncommon to see clusters of lymphocytes present surrounding a small arteriole and also extending into the interstitial space. The infiltrate is discrete and clearly “vasculocentric”. 
Another example of a cluster of lymphocytes surrounding a small arteriole is shown here. The lymphocytic infiltrate also extends into the interstitial space. The infiltrate is discrete and clearly “vasculocentric”. (H&E, X 300). 
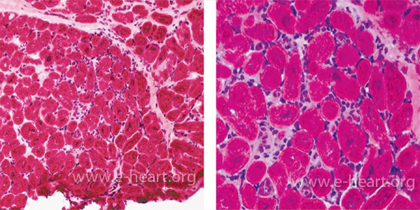
This frozen section of an endomyoardial biopsy shows a more diffuse infiltrate of mononuclear cells which surrounds individual myocytes and forms a "chicken wire" pattern of infiltration in the myocardium. This type of infiltrate was called a 1B pattern in the old (1990) working formulation. But, in the current classification it is part of the spectrum of lesions in Grade 1R rejection. H&E stains.
Additional examples of Grade 1R (with the old pattern 1B) rejection are shown here.

